20.2. - 20.3.2023 Update: Corona, Impfung, alternative Behandlungen alles implodiert und damit die Welle der vielfältigen Abwehrreaktionen - Der Verantwortung will sich naturgemäß keiner stellen
C, Kommentar
Dieser Artikel wird nach und nach aktualisiert
Wie werden sich die Täter verhalten?
Grundsätzlich
Ignorieren
Verlachen
Bekämpfen
Wir erkennen die unterschiedlichen Bekämpfungsstrategien
Einige werden versuchen zu relativieren, Nebelkerzen zu werfen und versuchen die Wahrheit weiter unter den Teppich zu kehren
Einige werden über Mutanten argumentieren
Einige werden versuchen die Maßnahmen in’s Lächerliche zu ziehen
Einige werden versuchen einfach zu schweigen
Einige werden sich selbst als Opfern darstellen
Einige werden sich selbst als Opfern darstellen und ein Bauernopfer vorschieben
Einige werden versuchen sich zu Helden des Widerstands stilisieren versuchen
Es werden neue, unbekannte Gesichter auftauchen, um als unverbraucht zu gelten und die Akteure aus dem Fokus zu nehmen
Einige werden Schuld einräumen und versuchen mit wenig Schrammen davonzukommen
Einige werden versuchen ihren Job zu verlassen und zu hoffen still und leise abtauchen zu können
Einige werden nach Amnestie rufen
Einige werden als Kronzeugen versuchen eine milde Strafe auszuhandeln
Einige werden sich aus dem Leben verabschieden
Meinung: Ent-Schuld-igung ist keine Option
Sie haben Schuld auf sich geladen und die größten Schäden seit dem zweiten Weltkrieg angerichtet. Das kann man nicht einfach Ent-Schulden. Buyx vom Ethikrat hat das auch erkannt und explizit gesagt, daß keine Entschuldigung zur Debatte steht - Denn man müßte ja eine Schuld eingestehen. Ich denke sie zieht es vor die Schuld zu leugnen.
Eine Heilung kann nur entstehen wenn es einen kompletten Neustart gibt, der ein für alle mal, einen solchen Putsch gegen die Menschheit ausschließt. Wo die Putschisten sitzen ist nach bald drei Jahren eindeutig verortbar.
Eine Heilung kann es nur geben, wenn die Täter ordentlich angeklagt werden und ein Urteil getroffen wird.
Der Verantwortung will sich keiner stellen - Also muß sie über ein neu zu gründendes Gericht mit aufrichtigen Richtern, Geschworenen.
Das Gericht muß mE ohne Vorinstanzen sein und personell sehr stark ausgebaut sein. Es geht darum zehntausende Verfahren abzuwickeln.
Eine Zusammenstellung wo wir gerade stehen
22.1.2023
Gerichte, insbesondere das Bundesverfassungsgericht haben versagt
Die Gerichte haben – bis auf wenige Ausnahmen – fast alle Corona-Maßnahmen akzeptiert und umgesetzt. Es geht dabei nicht um Kleinigkeiten, sondern um Lockdowns, Schulschließungen, Demonstrationsverbote. Das Verfassungsgericht in Karlsruhe hätte eingreifen müssen. Zum Schutz der Bürger vor dem Staat. Stattdessen wurden Verfassungsbeschwerden ignoriert, die Maßnahmen des Staates ohne Wenn und Aber gestützt.
Schwere Mängel bei Pfizer-BioNTech-Impfstudie
24.2.2023
Unternehmer stehen auf schaltet einen Gang hoch
Die Versagens- oder Verweigerungslage nochmals dokumentiert
https://archive.ph/0zkaF
Drei Jahre zu spät, stellt das brandenburger VG in ein sehr schlechtes Licht
Daß das Gericht dafür drei Jahre gebraucht hat interpretiere ich als Verweigerungshaltung. Die Maßnahmen hatten allerhöchsten Rang und Dringlichkeit. Die Richter sollten zurücktreten. Im Grund wäre ein sofortiger Austausch Pflicht.
https://archive.ph/KVfDa
Gehirnschäden durch Injektion bewiesen
Harald Prüß ist Professor für Neurologie, Charité: "Man kann inzwischen festhalten, dass nach der Corona-Impfung durchaus vereinzelte Patienten Beschwerden entwickeln, die mit einer gewissen Wahrscheinlichkeit auf die Impfung zurückzuführen sind", so der Facharzt. "
"Aber die allermeisten Beschwerden, die im zeitlichen Zusammenhang mit einer Impfung auftreten, haben wahrscheinlich mit der Impfung selbst überhaupt nichts zu tun."
"Antikörper können gegen beides reagieren, sowohl gegen das Virus als auch gegen körpereigene Strukturen, und dadurch Schäden verursachen"
Antikörper wurden in großer Anzahl im Nervenwasser gefunden
https://archive.ph/jNOKz
25.2.2023
Monströs halte ich für eine sehr treffende Beschreibung
Die Eigenverantwortung und Mündigkeit wurden den Menschen vollkommen genommen. Sie wurden wie Kinder behandelt. Besonders in Deutschland wurde mit der Panik gearbeitet weil die “Kinder” es nicht hinnahmen als Kinder behandelt zu werden.
“Wie konnte es sein, dass nach all den Erfahrungen der deutschen Geschichte, nach zwei Diktaturen, das offene Sagen seiner, übrigens durchaus auch begründeten, Meinung nicht nur zu absurdesten Diffamierungen in der Öffentlichkeit führte, sondern auch zu handfesten Maßnahmen seitens des Staates…”
https://archive.ph/T7A05
Wie lange können die Verantwortlichen den Deckel draufhalten
Gegen wen klagen? Ich denke, daß hier der Grund liegt warum immer von Nürnberg 2.0 die Rede ist. Millitärgerichtsbarkeit, welche die artifizielle Juristerei ausschaltet, hinter der sich Verantwortliche so schön verstecken können. Ein Großteil des “juristischen Schutzwall”, in Sachen C und Injektion, wurde eigens errichtet und ist somit mE Null und Nichtig. Dieser Schutzwall funktioniert nur so lange, wie alles in diesem geschlossenen System stattfindet.
26.2.2023
Es bestätigt sich immer mehr, daß C aus dem Labor kommt und bereits nach dem 12.9.2019 aufgetaucht ist
Zeitgleich taucht der Emailverkehr wieder auf, welcher zeigt, daß schon im Feburar 2020 daran gearbeitet wurde die Labortheorie auszuschalten
Diversen Leuten war das zu forsche Agieren von Drosten ein Dorn im Auge
Sie haben gemerkt, daß ihre Strategie der zufälligen, natürlichen Entstehung nicht wirkt
Fauci zog es vor nichts zu tun und geht davon aus, daß das Thema sich von selbst auflöst
Ein unabhängiges Gericht wird immer notwendiger
Die Basis Naturrecht ist von hoher Bedeutung. Heute haben wir ein vollkommen künstliches “Recht” ohne zwingend guter Wirkung. Jede Diktatur hat z.B. ein Rechtssystem. Es schützt dort nicht den Menschen sondern die Machthaber.
https://rumble.com/v2b2816-tribunal-verdict-natural-and-common-law-tribunal-for-public-health-and-just.html
https://exopolitics.blogs.com/international_criminal_co/2023/02/natural-and-common-law-tribunal-for-public-health-and-justice-wwwpeaceinspaceorg-to-a-2009-2023-lockstep-ongoing-c.html
28.2.2023
Jeb Bush sagte, daß der nächste Präsident mit einer Pandemie oder anderem Ereignis zu tun haben wird
So, so der C-Test spielt jetzt plötzlich keine Rolle mehr
1. März: Werden Beschäftigte durch einen Schnelltest, Selbsttest oder PCR positiv getestet, müssen sie ab dem 1. März zur Arbeit erscheinen. Voraussetzung ist, dass sie frei von Symptomen sind.
Ab 1. März gilt: Ohne Symptome dürfen Arztpraxen positiv getestete Personen nicht mehr krankschreiben. Gleichzeitig besteht keine Isolationspflicht. Das heißt, die Betroffenen müssen zur Arbeit erscheinen.“
US C Anhörung
Wuhan war die Quelle, US finanziert
Zwei Wissenschaftler haben Fauci 01/2020 darüber informiert
Sie bekamen 9 Mio Forschungsgelder und haben danach eine andere Ansicht vertreten
Cicero zeigt jetzt auf andere
Die Medien gehören mE zu den vier Hauptschuldigen: Ur-Logen, Pharma, Staatsangestellte, Medien
Weitere harte Indizien, daß C absichtlich in Umlauf gebracht wurde. WHO Dokument indiziert das schon im September 2019
Bereits 2015 wurde eine Studie veröffentlicht, daß WIV-CoV bereit zur Freisetzung ist, sowie wer, wie und mit welcher Funktionalität es entwickelt hat
WIV=Wuhan Institut of Virology
Die Studie wurde von der Universität North Carolina Chapel Hill veröffentlicht
Die Studie erläutert genau was sie gemacht haben
C wurde so verändert, daß es auf die Epithelzellen wirkt, die Oberflächenzellen der Blutgefäße
UK - Lockdown-Akten - 100.000 Whatsapp Nachrichten wurden veröffentlicht
Australien - Die Manipulation ist entlarvt worden
Fehlinformation Nr. 1: Die natürliche Immunität bietet im Vergleich zur geimpften Immunität wenig Schutz
Fehlinformation Nr. 2: Masken verhindern die Übertragung von Covid
Fehlinformation Nr. 3: Schulschließungen reduzieren die Covid-Übertragung
Fehlinformation Nr. 4: Myokarditis durch den Impfstoff ist seltener als durch die Infektion
Fehlinformation Nr. 5: Junge Menschen profitieren von einer Auffrischimpfung
Fehlinformation Nr. 6: Impfstoff schreibt erhöhte Impfraten vor
Fehlinformation Nr. 7: Covid, das aus dem Wuhan-Labor stammt, ist eine Verschwörungstheorie
Fehlinformation Nr. 8: Es war wichtig, die 2. Impfdosis 3 oder 4 Wochen nach der 1. Dosis zu erhalten
Fehlinformation Nr. 9: Daten zum bivalenten Impfstoff sind „glasklar“
Fehlinformation Nr. 10: Einer von fünf Menschen bekommt Long Covid
https://www.news.com.au/lifestyle/health/health-problems/10-myths-told-by-covid-experts-now-debunked/news-story/d414984470291668356217f4b3fa1f9c
https://www.telegraph.co.uk/news/lockdown-files/
1.3.2023
US gibt alle C Dokumente frei
USA - Demokraten haben Gesetz eingebracht alle C Akten zu veröffentlichen. Die Abstimmung hat das Gesetz angenommen
Die Sammlung ist nun schon über 100 Seiten lang - Daher habe ich sie aufgeteilt
Nachfolgend die vorherigen Sammlungen
Bericht zeigt, daß 1/3 der Menschen durch den C Stress psychisch erkrankt sind - Furchtbare Folgen der Politiker & Akteure und Propaganda
https://www.dgppn.de/_Resources/Persistent/93a818859031c45661aa7f6d298d6fecc6de45e9/20230104_Factsheet_Kennzahlen.pdf
Lauterbach lebt in einer eigenen Welt
Er glaubt immer noch nicht woher C kommt
Schutzmaßnahmen haben lange gut gedient
Die Pandemie ist nicht vorbei
Injektionen wirken
Schulschließungen waren der einzige Bereich der schlecht gelaufen ist
Den Rest spare ich mir, LB hat zu allen Fragen eine andere Meinung und laviert endlos und vage herum. Die Journalistin läßt alles durchgehen. Sie grinst ihn zwar permanent an und LB schaut immer verdruckst.
https://www.ardmediathek.de/video/maischberger/karl-lauterbach-was-haben-wir-aus-der-pandemie-gelernt/das-erste/Y3JpZDovL2Rhc2Vyc3RlLmRlL21lbnNjaGVuIGJlaSBtYWlzY2hiZXJnZXIvMjUyNDIyNDMtY2RlMy00MmMzLTg0N2MtOTljYjZiZTkzMDVj
2.3.2023
Die Welt ist sicher die letzte Quelle die so eine Frage stellen kann
Man versucht nahtlos auf die nächsten Themen zu springen ohne zu seiner Verantwortung zu stehen
Der Druck steigt und die Wahrheit kann kaum unter der Decke bleiben
https://www.telegraph.co.uk/?WT.mc_id=tw
Klinikum weißt an alle Daten zu vernichten
England Whatsapp Akten
In England wurden 100.000 Whatsapp Nachrichten von der Regierung veröffentlicht
Matt Hancock vom Gesundheitsministerium sagt, daß sie mehr Panik mit einer neuen Variante verbreiten werden.
Dann frägt er wann die neue Variante ausgebracht wird
Poole, meint, daß sie sorgfältig nachdenken müssen welche Variante sie ausbringen
Das Ganze bedeutet, daß unsere Regierungen absichtlich Viren gegen uns verbreiten.
Was das bedeutet ist klar. Die Regierungen führen Krieg gegen uns
Rückkehr zur seriösen Wissenschaft
Heißt, daß sie politisch, ideologisch getrieben IST
https://archive.ph/kKeHA
Zustand der Justiz
Clinton hat den Bau des Wuhan Labor’s freigegeben
So plant die WHO die Nationen zu unterwandern
USA, Kanada & Schweiz – 3 US-Strafverfolgungsbehörden aktiviert
https://rumble.com/v29up58-breaking-news-usa-canada-and-switzerland-3-us-law-enforcement-agencies-acti.html
SWR räumt 50-60.000 schwere Injektionsschäden ein
Geschädigte sind alleingelassen
Bemerkung: IdR wird nur über schwere Schäden gesprochen. Das reduziert die Schadenszahlen erheblich!
https://www.swrfernsehen.de/landesschau-rp/gutzuwissen/das-ist-das-post-vac-syndrom-100.html
Sie versuchen Injektionsfolgen zu unterdrücken
UK Parlamentsmitgliedern sollten die Gelder gesperrt werden wenn sie nicht mitspielen
Über 1,4 Mrd Dosen nicht geliefert
Wahrscheinlich abgerechnet
VdL hat 4,6 Mrd bestellt. Wahnsinn im wilden Westen
UK: Die Verabreichung von Midazolam wird thematisiert
Schweizer Regierung schleicht sich langsam raus
Die richtigen Worte sind genannt
Überzogen, rechtswidrig, unsinnig
Italien fliegt auch auf
Lauterbach ist recht schrill, da sich die Injektionsschäden häufen
https://t.me/WaldgangAlbdruck/45002
Drei Runden Injektionen für alle Schweizer bleiben liegen
Schadenstatistik
“In der EudraVigilence (EMA) Datenbank sind ca. 1.7 Millionen Einträge/Fälle und knapp 22000 Todesfälle nicht mehr auffindbar. Wir gehen davon aus, dass es sich um einen Fehler handelt. Sollte es sich um eine Löschung handeln wäre das ein Skandal!!!
Wir bleiben dran und verfolgen weiter was mit den Daten geschieht.
Was schon vor Beginn von vielen wahren Menschen behauptet wurde ist nun Realität und wieder keine Verschwörungstheorie mehr
Späte Einsicht - Knackpunkt werden die exorbitanten Kosten sein - D.h. man muß an das Geld der Oligarchen ran
Die verfügen über Billionen und haben das alles angezettelt
C hat gezeigt, daß alle Bhörden korrumpiert sind - Wordag rät sich keine Impfungen mehr spritzen zu lassen. Keiner weiß was drin ist

Es ist grausam was Medien angerichtet haben und noch immer anrichten

Sollen sie mal mit einem U-Ausschuss starten - Dann muß ein Tribunal daraus werden
Sonst endet es max. vor korrupten Gerichten
Japan - Im Untersuchungsausschuß wird Klartext gesprochen
220.000 Tote mit Verdacht auf Injektionsfolgen
Das Land ist geflutet von Menschen, dien nach der Nadel gesundheitliche Probleme haben
52 Obduktionen bestätigen den Zusammenhang zwischen Injektion & Tod

So macht man sich AKTIV schuldig
Oktober 2022 - Lauterbach windet sich im Bundestag mit Gegenanschuldigung
Lauterbach Dämmerung - Mainstream nimmt sich Lauterbach vor
Die Verfechter machen weiter bis zum Untergang
Als es dem Prof. Lütz nicht mehr passt verläßt er das Studio…
Leitverfahren sind wichtig für alle anderen Verfahren - Logisch, daß sie die Klage abweißen
Zeigt wie korrupt die Gerichte geworden sind
https://rewis.io/urteile/urteil/rsu-03-01-2023-15-o-2221/
Wie wurde es gemacht? Über eine EU Organisation gibt es Daten, die besagen, daß Darmthrombosen nicht häufiger sind als der durchschnittliche Zufall
Wer eine Heilaussage macht, die gegen den Codex Alimentarius verstößt wird hart bestraft - Was macht das ZDF!!!
US Verteidigungsministerium hat Ukraine eine Forschungsauftrag über C erteilt bevor es bekannt war
Auftragserteilung (11.12.2019), wohlgemerkt, inkl. Vorlauf ging das Ganze also früher los
350 Millionen!!!! sinnd über 5 stattliche Ministerien geflossen
Corona Aufarbeitung - Das Program der österreichischen Regierung
Ein erster Anfang. Sehen wie ernst es gemeint ist.
Die Universität Stanford hat ein Projekt zur Zensur von allem neben der staatlichen Meinungsvorgaben
Alles in direkter Zusammenarbeit zwischen Uni Stanford und Twitter
Hallo Twitter Team, hier die wöchentliche Unterweisung was in den sozialen Medien los ist
Die herausgeklagten Fauci Emails werden gegen Fauci und die Behörden verwendet - Ach nee
2. „Die Veröffentlichung von Dr. Anthony Faucis Frühjahrs-2020-E-Mails … wurde genutzt, um das Misstrauen gegenüber Dr. Fauci zu verschärfen.“ „Erhöhtes Misstrauen in Faucis fachkundige Anleitung.“
3. „Berichte von geimpften Personen, die sich trotzdem mit Covid-19 angesteckt haben“; „natürliche Immunität“; was darauf hindeutet, dass Covid-19 „aus einem Labor durchgesickert“ ist; sogar „besorgniserregende Witze“:
4. Alle wurden vom Virality Project als „potenzielle Verstöße“ oder Desinformations-„Ereignisse“ bezeichnet, eine weitreichende, plattformübergreifende Anstrengung zur Überwachung von Milliarden von Social-Media-Beiträgen der Stanford University, Bundesbehörden und einer Reihe von (oft staatlich finanzierten) Posts ) Nichtregierungsorganisationen.
6. Seitdem haben wir erfahren, dass das Virality Project im Jahr 2021 mit der Regierung zusammengearbeitet hat, um einen branchenweiten Überwachungsplan für Covid-bezogene Inhalte auf den Weg zu bringen. Mindestens sechs große Internetplattformen wurden in dasselbe JIRA-Ticketing-System integriert und sendeten täglich Millionen von Artikeln zur Überprüfung.
Das Stanford Projekt zielte eindeutig darauf wahre Inhalte zu zensieren
7.Obwohl das Virality Project massenhaft Inhalte für Twitter, Google/YouTube, Facebook/Instagram, Medium, TikTok und Pinterest überprüfte, zielte es wissentlich auf wahres Material und legitime politische Meinungen ab, während es selbst oft sachlich falsch lag.
…
10. DER ANFANG: Am 5. Februar 2021, kurz nach Joe Bidens Amtsantritt, schrieb Stanford an Twitter, um das Virality Project zu besprechen. Am 17. stimmte Twitter dem Beitritt zu und erhielt seinen ersten wöchentlichen Bericht über „Anti-Vax-Desinformation“, der zahlreiche wahre Geschichten enthielt.
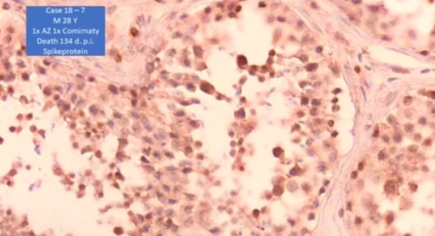
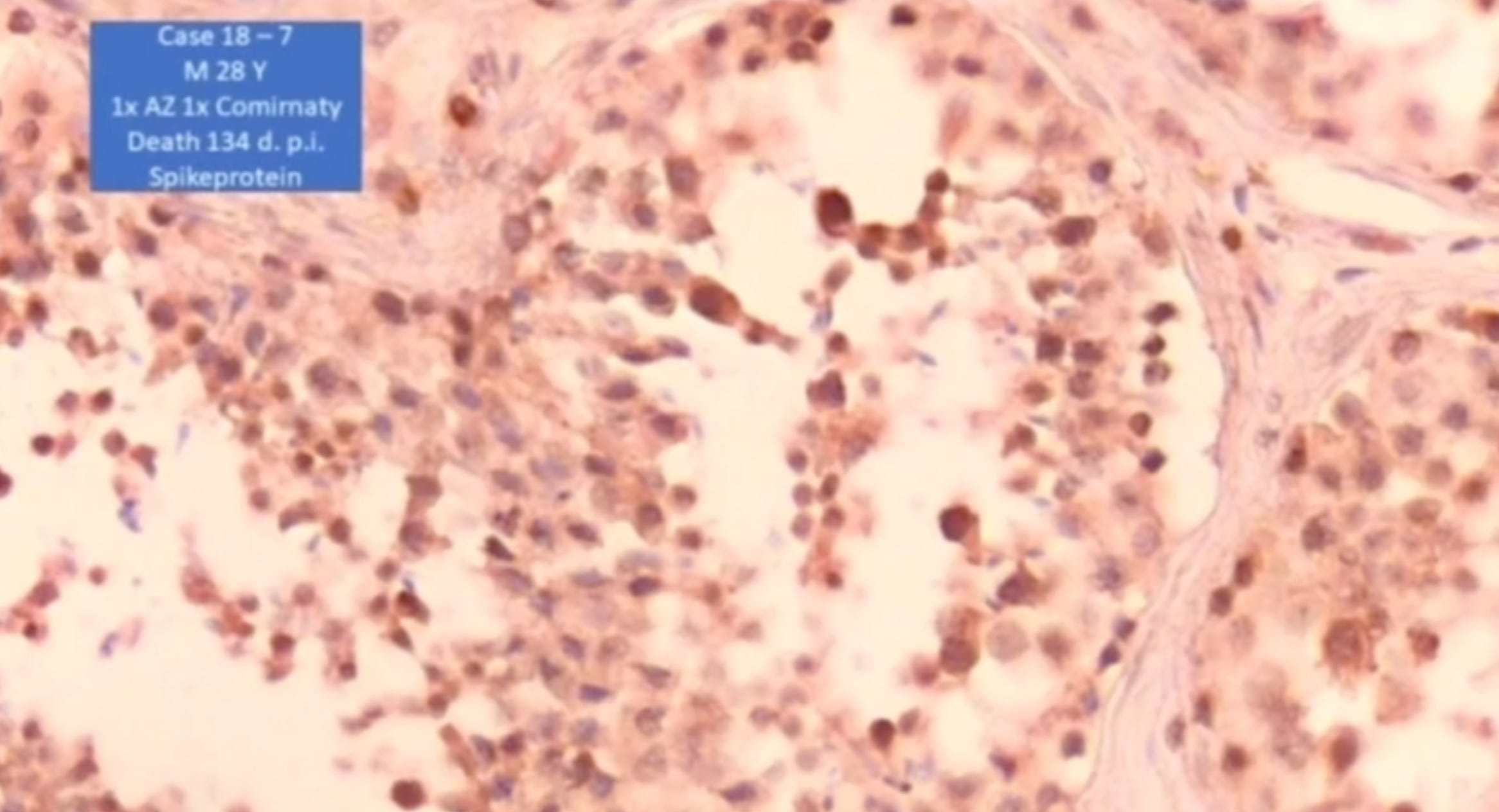
Immenser Geburtenrückgang
Pathologe Burkardt zeigt, daß zwei Männer keinerlei Spermien, dafür massig Spikes in den Hoden haben
“Dr. Arne Burkhardt zeigt eine medizinische Diashow von bestätigten Spike-Proteinen, die Spermien fast vollständig ersetzen. 28-jähriger Mann, der 140 Tage nach der Injektion starb. Spike Protein zeigt in den Tests fast keine Spermatozyten hier drin. "Wenn ich eine Frau im fruchtbaren Alter wäre, würde ich keine Mutterschaft von einem geimpften Mann planen."
https://rumble.com/v2a5fpw-dr-arne-burkhardt-confirms-sperm-has-been-almost-entirely-replaced-by-spike.html
Spricht für sich selbst
https://archive.is/Mabjg
UK MP kann auf Basis öffentlicher Regierungsdaten erste Nebenwirkungen bei 1 von 800 nachweisen
Lauterbach spricht von 1:10.000 < Was stimmt wohl eher. Öffentliche Daten oder in Lauterbach, der öffentlich sagte: “Die Wahrheit, ich bitte Sie, die Wahrheit zu sagen ist politischer Selbstmord”
Bemerkenswert ist, daß in UK alle das Unterhaus (Parlament) verlassen. Die Verantwortlichen wollen die Wahrheit nicht wissen

Man hat’s nicht kommuniziert - Billiger geht’s immer
Es ist schon bemerkenswert wie er sich nun selbst belastet und alle anderen in die Pfanne haut. Fordert auch Stiftung für Geschädigt - ALLERDINGS nicht ohne zu erwähnen, daß es Wenige sind.
Zeigt sicher den Weg die Anerkennung auf ein Minimum zu drücken. Das werden die Gerichte machen und die ersten Exempel sind geurteilt.
https://www.zdf.de/nachrichten/politik/corona-impfschaden-laschet-lauterbach-haftung-100.html
Weil - Genauso billig
“War ja klar, daß Impfschäden auftreten…”
“Der Staat habe sehr für die Impfung geworben, deswegen dürfe er nun nicht weggucken.”
https://www.zdf.de/politik/berlin-direkt/weil-corona-impfung-impfschaden-100.html
Sie können nicht mehr verbergen
Gniffke war/ist der harte Hund beim SWR - Keine Überraschung, daß er befördert wurde
Da war der Gebrauch der Schußwaffe auf flüchtende Ungetestete
Oder die Aussage: “Kontroversen Ansichten gibt er keine Plattform”
Klar, daß er weiter den Torwart macht und die Einhaltung des GG verweigert. Er macht meines Erachtens die ÖR zu einer kriminellen Vereinigung









































































